Имплантация зубов - надежный, долговечный способ восстановить утраченные зубы раз и навсегда. Мы устраним все неудобства, которые доставляет потеря зуба, а также вернем вам красивую улыбку.
Специалисты ООО «Цифровая стоматология» в Новороссийске в совершенстве владеют различными методиками имплантации зубов и подберут индивидуально для вас оптимальный вариант решение проблемы.
ВОССТАНОВИМ ВАМ ЗУБЫ ЗА ОДИН РАЗ И НА ВСЮ ЖИЗНЬ!
Случаи, когда имплантация — единственно верное решение для здоровья и комфорта
Случаи, когда имплантация — единственно верное решение для здоровья и комфорта
Проблема: Отсутствует один зуб, особенно в «зоне улыбки» или среди жевательных зубов. Соседние зубы здоровы.
Почему имплантация — лучшее решение:
Соседние зубы не страдают: В отличие от мостовидного протеза, для установки которого необходимо обтачивать и депульпировать (удалять нерв) соседние здоровые зубы, имплантат устанавливается самостоятельно.
Сохраняется костная ткань: Имплантат нагружает кость, предотвращая ее убыль (атрофию) на месте отсутствующего зуба.
Эстетика и функциональность: Восстанавливается зуб, который не отличить от естественного по внешнему виду и функции.
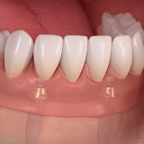
Проблема: Отсутствует подряд 2, 3 или 4 зуба.
Почему имплантация — лучшее решение:
Отказ от съемного протеза: Вместо неудобного частичного съемного протеза можно установить несколько имплантатов (часто достаточно 2-3) и зафиксировать на них несъемный мостовидный протез.
Комфорт и надежность: Конструкция на имплантатах будет стабильной, не натирать десны и не выпадать. Вы будете чувствовать ее как свои собственные зубы.
Равномерное распределение нагрузки: Жевательная нагрузка распределяется правильно, что защищает кость и оставшиеся естественные зубы от перегрузки.
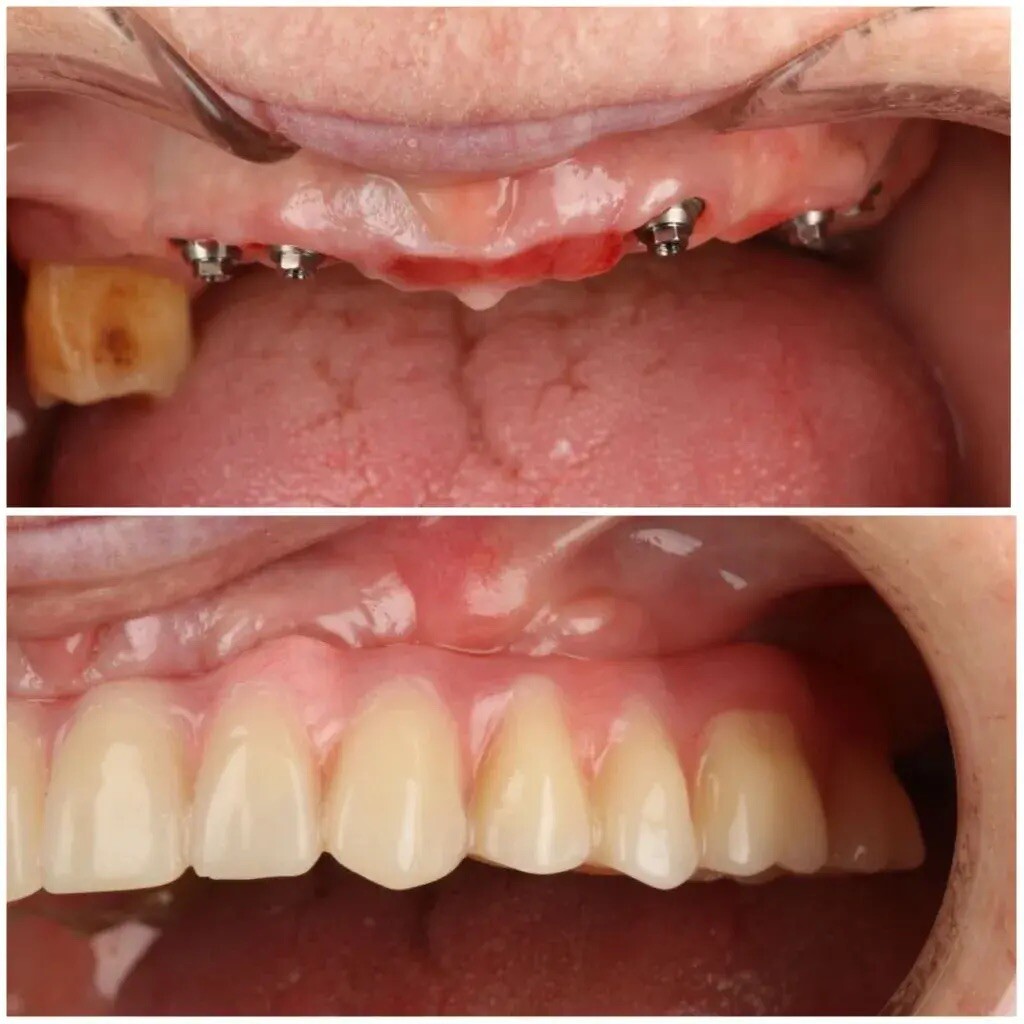
Проблема: Полное отсутствие зубов на одной или обеих челюстях.
Почему имплантация — лучшее решение:
Фиксация полного протеза: Даже 2-4 имплантата (технология All-on-4) могут служить надежной опорой для полного несъемного или условно-съемного протеза.
Конец проблемам со съемными протезами: Исключаются проблемы классических «вставных челюстей»: натирание десен, плохая фиксация, невозможность нормально жевать (особенно твердую пищу), нарушение вкусовых ощущений.
Восстановление функции и внешности: Возвращается способность полноценно питаться, четко говорить. Лицо приобретает более молодые contours, так как имплантаты поддерживают лицевые мышцы, предотвращая «эффект запавших губ».
Чтобы узнать точный ответ о подходящем именно вам способе, советуем обратиться к высококвалифицированному врачу-стоматологу.
Запишитесь на прием к врачу стоматологу и получите гарантированную скидку + КТ в подарок!
ЗАПИСАТЬСЯ ПО АКЦИИ
Имплантат имитирует натуральный корень зуба, что полностью восстанавливает жевательную функцию после установки коронки или мостовидного протеза
Имплант и ортопедическая конструкция – наиболее естественная замена зуба, поэтому костная ткань не убывает
Универсальное применение
Даже когда зубы отсутствовали длительное время, имплантация восстанавливает все функции зубочелюстного аппарата
Коронковая (видимая) часть зуба крепится на абатмент (связующее звено между имплантом и коронкой), что позволяет сохранить рядом стоящие здоровые зубы и уберечь их от лишней нагрузки
Правильный уход продлевает срок службы имплантатов на десятилетия, ваша улыбка всегда будет безупречной
Какая имплантация подходит именно вам
позволяет поставить имплант сразу после удаления за одно посещение.
восстановление всего зубного ряда на верхней или нижней челюсти за один приём.
делаются после диагностики для точного вживления имплантатов в костную ткань.
наращивание костной ткани для надёжной установки имплантата.
процедура восстановления костной ткани челюсти.
Вам больше не придется скрывать свою улыбку.
Меня зовут Чебукин Юрий Леонидович, я — врач-имплантолог в ООО "Цифровая стоматология" с стажем, более 12 лет.
Каждый день ко мне обращаются пациенты, которые стесняются своей улыбки в связи с чем испытывают дискомфорт при общении с людьми.
Я знаю, что решение об имплантации — это серьезный шаг. Это не просто «вкрутить винтик». Это — воссоздание утраченного органа со всеми его функциями: жевательной, эстетической и даже речевой.

Поэтому в своей работе я опираюсь на три главных принципа:
Планирование. Я использую только проверенные мировые системы имплантов и работаю с 3D-шаблонами. Это значит, что еще до начала лечения мы с вами на компьютере увидим идеальный план и финальный результат. Никаких сюрпризов.
Долговечность. Для меня успех — это не просто прижившийся имплант. Это ваша уверенная улыбка через 10, 20 и 30 лет. Я делаю все, чтобы имплант служил вам всю жизнь.
Комфорт. Лечение проходит под надежным обезболиванием. Вы не почувствуете боли или дискомфорта. Многие пациенты после операции удивляются: «И это всё?».
Что вы получите в результате?
Красоту: Естественные и эстетичные зубы, которые не отличить от настоящих.
Здоровье: Остановите атрофию кости, сохраните соседние зубы целыми (их не нужно обтачивать под мост).
Уверенность: Сможете свободно улыбаться, есть любую пищу и жить полной жизнью.
Я верю, что современная стоматология должна быть безопасной, предсказуемой и дарить радость. И я готов доказать это на вашем примере.
Давайте встретимся на бесплатной консультации. Я проведу детальную диагностику, отвечу на все ваши вопросы и составлю четкий план лечения с точной стоимостью. Вы ни за что не обязаны будете платить, но получите полную ясность.
P.S. Помните: то, что вы вкладываете в свою улыбку сегодня, — это инвестиция в ваше качество жизни на долгие годы вперед. Не откладывайте свое счастье. Запишитесь ко мне на бесплатную консультацию, прямо сейчас!
Только опытный врач способен провести имплантацию зубов с высоким процентом успеха. В «Цифровой стоматологии» Мы внимательно изучаем состояние вашего здоровья перед проведением процедуры, а установка имплантатов в стерильной операционной с современным оборудованием.
1
Первичный осмотр
Доктор осматривает полость рта и рассказывает вам о возможностях восстановления зубного ряда и помощи имплантов.
2
Санация
Вам лечат кариес и снимают воспаление десен, чтобы процедура прошла в идеальных условиях.
3
Диагностика
Вы делаете снимок КТ, на котором виды все скрытые особенности вашей зубочелюстной системы.
4
Планирование
Врач просчитывает будущую процедуру и подбирает имплантаты, подходящие для вашего случая.
5
Согласование
Вас знакомят с этапами операции, назначают день и согласовывают окончательную цену лечения.
6
Имплантация
В день процедуры вас принимают в отдельной операционной, проводят имплантацию с применением 3D шаблона, т.е. без риска и страха.
7
Восстановление
Пока имплантат приживляется, вы приходите на профилактические осмотры для контрольных снимков.
8
Протезирование
Завершающий этап, когда вам ставят коронку или мостовидный протез.
Читайте ответы
Как можно у Нас СЭКОНОМИТЬ?
Не волнуйтесь. У нас есть рассрочка, без процентов, а так же более бюджетные варианты имплантов. Просто оставьте заявку на нашем сайте, и мы подберем вам имплант под ваш бюджет.
как проводиться имплантация зубов?
Подготовительный этап – один из наиболее важных при проведении имплантации зубов. Вы должны уделить внимание гигиене полости рта, поскольку стерильность – залог успешно проведенной операции.
Кроме того, на этапе подготовки к лечению проводится изучение челюстной системы (делается компьютерная трехмерная томография челюсти, а также ортопантомограмма – панорамный рентген) и всего организма для выявления возможных патологий или противопоказаний к имплантации зубов.
При необходимости проводится санация полости рта – снятие зубного налета и камня, лечение или удаление зубов.
много ли противопоказаний в имплантации зубов?
Имплантация зубов, как и любая хирургическая операция, имеет определенные противопоказания. К абсолютным ограничениям относятся злокачественные образования, сахарный диабет, туберкулез, нарушения иммунной системы (ВИЧ, СПИД) и свертываемости крови, острые заболевания нервной системы, сосудов или суставов.
Кроме того, имплантация не рекомендуется или разрешается после предварительного лечения заядлым курильщикам, при плохой гигиене полости рта.
В целом противопоказаний немного и операция противопоказана только при острых и серьезных стадиях заболеваний.
Больно ли производить имплантацию зубов?
В настоящее время имплантация зубов, это безболезненная процедура. При операции вводится анестезия, которые блокирует все нервные окончания. Вы ни чего не почувствуете. Чтобы установить имплант в нашей клиники, потребуется не больше 30-40 минут.
сколько времени потребуется на имплантацию зубов?
Имплантация зубов – довольно длительная операция, которая состоит из нескольких этапов:
1 - подготовка:
требуется около месяца.
2 - Наращивание костной ткани:
операция длится не более часа, но требуется 3-4 месяца для приживления подсаженной кости (операция необходима только в случае недостатка костной структуры для фиксации импланта),
3 - вживление имплантов:
30 минут на одну конструкцию,
4 - приживление имплантов:
около 3-6 месяцев (в зависимости от условий для роста кости, а также выбранной модели импланта),
5 - протезирование:
около одной недели.
Таким образом, минимум, который придется потратить на лечение – это 3 месяца, максимум – чуть более года.
Однако в нашей клинике существуют методы экспресс-имплантации зубов, которые позволяют применять технологию моментальной нагрузки – то есть уже через 2-3 дня после установки имплантов на них фиксируются зубные протезы.
Таким образом сроки лечения сокращаются до одной недели.
есть ли осложнения после имплантации зубов?
После вживления имплантов вы будете чувствовать небольшой дискомфорт: возможны болевые ощущения, отеки тканей, кровотечение из раны.
В редких случаях – расхождение швов, воспаление тканей вокруг импланта (периимплантит), смещение импланта или его проталкивание по длине лунки.
Кроме того, во время самой операции может произойти повреждение троичного нерва на нижней челюсти, либо гайморовой пазухи на верхней.
К счастью в нашей клинике работают профессиональные врачи, которые сделаю все на самом высшем уровне!
какой срок службы у имплантов и протезов?
Срок службы зубных имплантов – не менее 10 лет, но при отсутствии патологий со стороны организма, при правильной установке они могут даже пережить самого пациента, поэтому, как правило, импланты служат в среднем от 20 лет и более.
Что касается протезов, которые фиксируются на имплантах, то их срок службы – 10-15 лет, а наиболее качественных – и более 20 (речь идет о коронках из диоксида циркония). При замене зубных протезов импланты не травмируются, поэтому их повторная установка не требуется.
Не нашли ответа? Задайте вопрос нашему специалисту!
Используя наш сайт, вы даёте согласие на обработку файлов cookie и пользовательских данных.